胸悶吃不下!阿嬤照X光「胃部位置怪怪的」嚇壞:吃掉心臟了 揭病因「非短時間造成」再拖恐癌變
隨著天氣漸涼,感冒的人也變多,不少人都會咳嗽咳不停,大家也有聽過一說法「咳到胃翻出來」,當時聽到只覺得太浮誇,沒想到真的有人用力咳嗽到胃都翻了!近日傳出一名阿嬤久咳不癒,漸漸出現胸悶、食慾變差等症狀,無奈就醫照X光,結果出爐讓醫生看傻眼:「這不是咳1、2次就能造成的!」

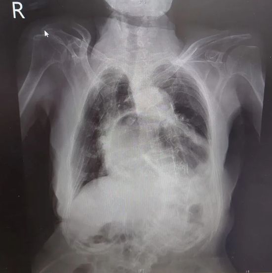
圖/翻攝自 奇摩新聞
Advertisements
根據《ETtoday》報導,北市聯醫中興院區醫生姜冠宇透過社群平台曬出一張胸部X光片,無奈喊話:「這不是心臟,而是胃喔!」原來他早上遇到一名住在安養院的患者,因為她有胸悶、低血氧及嘔吐、食慾變差等症狀,趕緊安排就醫檢查,一照X光發現原本該是心臟的位置,竟變成了胃,甚至吃掉心臟,是典型的咳到胃翻出來的病例。


圖/翻攝自 姜冠宇醫師 Pro'spect 臉書、姜冠宇醫生 IG@angelimpulse
這病症確切病名為「胃疝脫」,主要是胃部錯位突破橫隔膜擠入胸腔,驚恐畫面讓人驚呼:「咳嗽太用力就會這樣嗎?」對此醫生也強調,一般咳嗽情況並不會這麼嚴重,而且也不是咳1、2次就能造成的,通常是長期咳嗽用力,可能是老一輩的人想把痰咳出卻沒有成功,只能不斷咳嗽藉此讓自己舒緩,咳久了之後橫隔膜的胃和食道接口也會越來越脆弱,這類症狀要多加留意是否有慢性呼吸道疾病,亦或是染疫後症候群導致!
